This is a practice OSCE station for UKMLA content.
Contents
- How to use
- Candidate brief
- Presenting Complaint:
- Symptoms (SOCRATES):
- Systemic Symptoms:
- Past Medical History:
- Drug History:
- Allergies:
- Family History:
- Social History:
- Ideas, Concerns, and Expectations:
- Observations:
- Physical Examination:
- Investigations:
- Choose EITHER Examiner viva questions OR Patient communication roleplay
- 1. Please present your findings and the likely diagnosis
- 2. Other possible differentials?
- 3. Explain the pathophysiology
- 4. What further investigation would you consider to confirm the diagnosis?
- 5. Describe the typical electrolyte abnormalities and their cause
- 6. Outline your immediate management
- 7. What is the definitive treatment?
How to use
Candidate:
Read the brief below (1 minute).
Take a history and perform a focused examination (6 minutes).
EITHER answer the viva questions OR communicate the diagnosis and plan to the parent (3 minutes).
Patient/Examiner:
Familiarise yourself with the history and examination findings.
After completing the history, you may EITHER:
- Viva the candidate with clinical reasoning questions.
OR - Act as the parent and have the candidate explain the diagnosis and plan.
Candidate brief
Patient Name: Oliver Green
Mother’s Name: Chelsea Green
Location: Children’s ED
You are the paediatric doctor in the Paediatric ED. Mrs Green has brought in her 8-week-old baby boy (Oliver) who has been vomiting. Please take a focused history from the parent and perform an appropriate examination. You will then be asked either viva questions or to explain your findings and plan to the baby’s mother.
Presenting Complaint:
- Persistent vomiting in an 8-week-old boy
Symptoms (SOCRATES):
- Site: Vomiting
- Onset: Started about 7 days ago, gradually worsening
- Character: Forceful, projectile vomiting after most feeds
- Radiation: N/A
- Associated symptoms: Appears hungry after vomiting and still feeds eagerly, no diarrhoea, no fever, no bilious vomit or blood
- Time: Vomiting is after almost every feed, increasing in frequency
- Exacerbating/Alleviating factors: Triggered by feeds; no improvement with position changes
- Severity: Forceful enough to travel several feet
Systemic Symptoms:
- No fever, no jaundice, no rash, normal coloured stools
- Fewer wet nappies than usual, normal to slightly darker urine, more so in the last 2 days
- Difficulty gaining weight – Chelsea is concerned that over the past week, since symptoms started, Oliver has stopped gaining weight
- No cough or respiratory distress
- Occasionally lethargic/irritable after feeds
- Always appears hungry, wanting to feed but struggling to keep it in
Past Medical History:
- Born at 39+1 weeks via normal vaginal delivery
- Unremarkable pregnancy with normal progression
- Birth weight: 3.4 kg (approx 50th centile)
- No neonatal issues, no surgeries
- Immunisations up to date
- Normal progress through developmental milestones
Drug History:
- None
Allergies:
- None
Family History:
- Father had “stomach surgery” as a baby
Social History:
- Lives with both parents, no siblings
- No smokers at home
- Exclusively breastfed
- No social services or safeguarding concerns.
Ideas, Concerns, and Expectations:
- Ideas: Mum suspects reflux but thinks it’s getting worse
- Concerns: Worried about weight loss and dehydration
- Expectations: Wants to know if any medication needed
Observations:
- Respirations: 40 /min
- SpO₂: 99% (air)
- Air or Oxygen: Air
- Blood Pressure: 78/48 mmHg
- Pulse: 175 /min
- Consciousness: Alert
- Temperature: 36.8 °C
- No respiratory distress evident
- CRT 3s
PEWS: 4 (tachycardia, prolonged CRT)
| Parameter | Normal / 0 Points | Mild Abnormality / 1 Point | Moderate Abnormality / 2–3 Points | Severe / Trigger |
|---|---|---|---|---|
| Respiratory Rate (per Min) | 30-50 | 20-30/50-60 | 60-70/10-20 | <10 or >70 |
| Oxygen Saturation | ≥ 95% | 92–94% | < 91% | <90% |
| Heart Rate | 110-150 | 90-110/150-170 | 80-90/170-180 | <80 or >180 |
| AVPU | Alert | Responds to voice | Responds to pain | Unresponsive |
| Capillary Refill Time | ≤ 2 s | >3 s | ≥ 4 s | |
| Respiratory Distress | No distress | Nasal flaring Subcostal recession | Head bobbing Tracheal tug Intercostal recessionInspiratory or expiratory noises | Sternal recession Grunting ExhaustionImpending respiratory arrest |
| Mean SBP | 70-90 | 60-70/90-100 | 50-60/100-110 | <50 or >110 |
| Temperature | 36.5-37.5 | |||
| Other Risk Factors | — | — | — | e.g., sepsis, immunocompromise |
Table adapted from National Paediatric Early Warning System Observation and Escalation Chart 0-11 months (1).
| Age (weeks) | 2nd centile | 9th centile | 25th centile | 50th centile | 75th centile | 91st centile | 98th centile |
| 8 | 4.1kg | 4.5kg | 5kg | 5.4kg | 5.8kg | 6.35kg | 6.9kg |
RCPCH Growth Chart for a boy born at 39 weeks (2).
Physical Examination:
- General: Slightly small for age, mildly dehydrated (sunken fontanelle, dry mucous membranes, reduced skin turgor), no icterus/jaundice.
- Growth: Weight 4.6 kg.
- Abdomen: Soft, non-tender, palpable olive-shaped mass in right upper quadrant/epigastrium, no organomegaly.
- Other systems: CVS, respiratory, neurological exams normal.
Investigations:
- You are given the following blood gas, please interpret the results:
pH 7.55 (7.35-7.45)
HCO₃⁻ 36 mmol/L (22-29)
Cl⁻ 88 mmol/L (95-108)
K⁺ 3.2 mmol/L (3.5-5.3)
Answer→ Metabolic alkalosis with hypochloraemia & hypokalaemia due to excessive vomiting
Choose EITHER Examiner viva questions OR Patient communication roleplay
Examiner viva questions:
1. Please present your findings and the likely diagnosis
- Today I took a history from the mother of Oliver, an 8-week old infant with an unremarkable medical history, who has had intractable vomiting over the past week, with concerns for difficulty gaining weight.
- Oliver has experienced forceful and projectile vomiting with breastfeeding, with no evidence of bilious vomit, blood or signs of infection or allergy.
- On examination he is clinically dehydrated, slightly lethargic and tachycardic, and has a palpable olive-shaped mass in the epigastrium. He has failed to gain weight appropriately as evidenced by the falling weight curve deciles since birth.
- Blood gas shows a hypochloraemic, hypokalaemic metabolic alkalosis.
- Overall, this is in keeping with a diagnosis of pyloric stenosis.
2. Other possible differentials?
- Gastroesophageal reflux – Very common in babies up to 1 year of age but rarely causes significant weight loss, do not vomit after every feed, vomits are non projectile, sometimes changing the milk and upright positioning after feeds helps. Might have a positive family history of cow milk intolerance.
- Malrotation – Typically presents with bilious vomiting, abdominal tenderness and possibly distension, occasionally peritonism and signs of shock if developing ischaemia or perforation, blood in stools. US abdomen shows Inversion of SMA/SMV Relationship (Normal- SMA is to the left of SMV). Requires UGI contrast imaging for confirmation and location of malrotation or volvulus.
- Intussusception – intermittent cramping pain, red currant jelly stool, rotavirus vaccine or any recent gastroenteritis (viral) can be a cause. US abdomen shows target/doughnut sign.
- Food allergy – Can have a positive family history, especially among siblings, H/O rash or eczema, loose stools with severe perianal nappy rash, gets better with changing feeds.
- Duodenal/jejunoileal atresia – bilious vomiting very early in life, within days or hours, associated syndromes- T21 or VACTERL, etc. hence rarely an isolated issue. For duodenal atresia, the classic finding is a “double bubble” sign, indicating a dilated stomach and proximal duodenum, with no distal gas. Jejunal atresia may show dilated loops of small bowel with air-fluid levels and a paucity of air in the colon and rectum.
3. Explain the pathophysiology
Hypertrophy of the circular and longitudinal muscle layers in the pylorus, narrowing the lumen and causing progressive postprandial projectile vomiting due to gastric outlet obstruction; possible neurogenic cause linked to nitric oxide synthase gene.
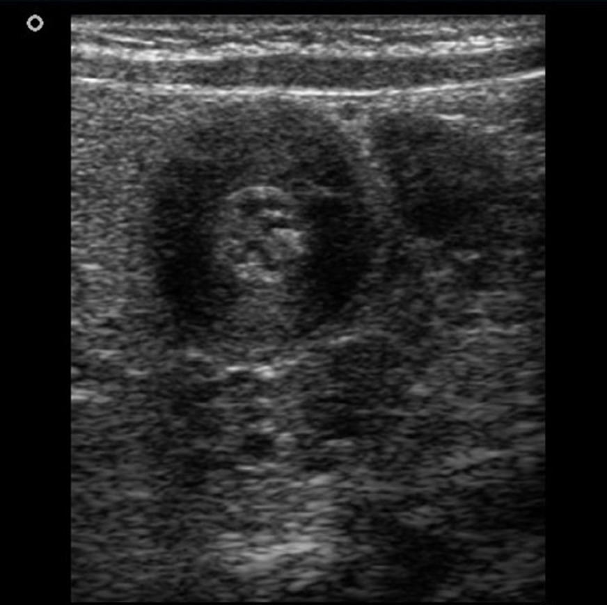
4. What further investigation would you consider to confirm the diagnosis?
USS abdomen:

Longitudinal view. Case courtesy of Hidayatullah Hamidi, Radiopaedia.org, rID: 51340

Transverse view. Case courtesy of Hidayatullah Hamidi, Radiopaedia.org, rID: 51340
- Pyloric muscle thickness >3 mm and pyloric canal length >15 mm meet the diagnostic criteria for pyloric stenosis in full-term infants. Ultrasound also allows live examination of the flow of gastric contents (or absence of flow) through the pyloric channel, as well as the presence of abnormal peristalsis.
- Transverse views can show the ‘Target sign’ – hypertrophied hypoechoic muscle surrounding echogenic mucosa (see above). Other specific signs include the ‘Cervix sign’ and ‘Antral nipple’ sign.
- Physical examination can include palpation of an olive-shaped mass in the epigastrium or RUQ (the hypertrophied pylorus) during a test feed, once the stomach has been aspirated with a NGT.
5. Describe the typical electrolyte abnormalities and their cause
- In severe cases, hypochloraemic alkalosis and mild hypokalaemia. Vomiting induces loss of hydrochloric acid from the stomach (leading to metabolic alkalosis and hypochloraemia).
- The kidneys respond by increasing K+/H+ exchange in order to salvage H+ and regulate pH, leading to increased K+ excretion.
- This is exacerbated by increased activation of the RAAS system and aldosterone secretion, causing increased sodium and water retention in exchange for potassium excretion.
6. Outline your immediate management
- Fluid resuscitation with electrolyte correction, keep NBM, NGT insertion to decompress the stomach, monitor fluid input/output closely.
- Severely hypovolaemic children may require a bolus of 10-20 ml/kg initially. They will then require 1.5x normal maintenance fluids (150 ml/kg/day), according to trust guidelines (e.g. 0.9% NaCl + 5% dextrose or plasmalyte), until hypovolaemia and electrolyte abnormalities have resolved, at which point the rate can be reduced to normal. Intravenous fluid should not contain potassium until the urine output is adequate (1-2 mL/kg/hour).
- Surgery must be delayed until hypovolaemia and electrolyte disturbances are corrected.
7. What is the definitive treatment?
Ramstedt’s Pyloromyotomy

Case courtesy of Hidayatullah Hamidi, Radiopaedia.org, rID: 51340
Patient communication roleplay script:
Opening prompt: “Doctor, what’s wrong with Oliver? Is this just reflux or something serious?”
If candidate explains diagnosis:
E.g: I completely understand how worrying this must feel. I will try my best to answer all your questions and if needed will discuss with my seniors later to have a chat with you further. What we’ve found is a condition called pyloric stenosis. Have you heard of it before?
Mom: “No, I’ve never heard of that. What does it mean?”
Doctor: There’s a small muscle at the end of the stomach, called the pylorus, which controls when food passes from the stomach into the intestines. In some babies, this muscle becomes thicker than normal and makes it very difficult for milk to pass through.
(Expect lay explanation: muscle at the outlet of the stomach is too thick, blocking food from passing into the intestine and causing vomiting.)
Mom: “What will you do now to help him get better?”
Doctor: We will first need to admit him, start him on IV fluids to rehydrate him. We will insert a tube into his stomach to help take extra gas and milk out of his tummy to stop him vomiting, make him more comfortable and reduce the risk of aspirating. We will also run some blood tests to check his salts, kidney function and rule out any infection. He will then need surgery to release the block to help him feed normally.
If surgery mentioned:
Mom: “Surgery? On such a small baby? That sounds scary. Is it dangerous?”
(Expect reassurance: simple, usually keyhole/small cut, good outcomes; but first need fluids and salt correction.)
Doctor: It’s usually done as a keyhole surgery and is performed by the paediatric surgeons, who have expertise in this procedure, which usually has very good outcomes.
If candidate omits stabilisation step:
Prompt by role player (mom):
“Will he have the operation straight away then?”
(Expect: No, correct dehydration and salts first, before surgery.)
If plan explained:
Mom: “Will this happen again after surgery? Is it my fault?”
(Expect reassurance: not parent’s fault, more common in boys, sometimes runs in families; recurrence rare.)
Doctor: This does not recur. Oliver will be back to his normal self after surgery. This is absolutely not your fault. This condition is seen more commonly in boys and can run in families.
Mom: “Will he be in pain after the operation?”
Doctor: We’ll make sure he’s comfortable with appropriate pain relief. Most babies bounce back much quicker than we expect. You’ll be able to feed him soon after the surgery, and most parents are surprised how quickly they recover to their normal self.
Mom: “Thank you, doctor…I was so worried. I just want him to be okay.”
Doctor: You’re doing a wonderful job as a mom. I know it’s stressful, but the important thing is that we know what’s going on, we’re treating the dehydration, and surgery will fix the problem. He has an excellent outlook. I will also provide you with some information leaflets about this condition. You can have a read through them later, and you are more than welcome to ask one of our team members if you have any further concerns or queries. Thank you Mrs Green.
Good performance indicators:
- Jargon-free, clear explanation
- Reassurance on prognosis and safety
- Stepwise plan: fluids/salts → surgery → feeding restart → home
- Addresses parental concerns and guilt
- Provides patient information leaflet
References
1. Vomiting | Recent Illness or Concern | Healthier Together [Internet]. [cited 2025 Aug 31]. Available from: https://www.healthiertogether.nhs.uk/new-parent-and-baby/vomiting
2. Pyloric stenosis [Internet]. [cited 2025 Aug 31]. Available from: https://patient.info/childrens-health/pyloric-stenosis-leaflet
3. England NHS. NHS England » National paediatric early warning system (PEWS) observation and escalation charts [Internet]. 2023 [cited 2025 Feb 25]. Available from: https://www.england.nhs.uk/publication/national-pews-observation-and-escalation-charts/
4. Pyloric stenosis – Symptoms, diagnosis and treatment | BMJ Best Practice [Internet]. [cited 2025 Aug 31]. Available from: https://bestpractice.bmj.com/topics/en-gb/680
5. RCPCH [Internet]. [cited 2025 Aug 31]. UK-WHO growth charts – 0-4 years. Available from: http://www.rcpch.ac.uk/resources/uk-who-growth-charts-0-4-years
Author – Dr Bhaswati Chowdhury
Editor – Dr Daniel Arbide
Last updated 28/11/2025
How useful was this post?
Click on a star to rate it!
Average rating 0 / 5. Vote count: 0
No votes so far! Be the first to rate this post.
We are sorry that this post was not useful for you!
Let us improve this post!
Tell us how we can improve this post?


