This is a practice OSCE station for UKMLA content.
Contents
- How to use
- Candidate brief
- Viva Questions:
- 1. Before having investigation results to hand, what differential diagnoses you can think of?
- 2. “What will be your next steps?”
- 3. Will you give/change any of John’s current medications?
- 4. Please interpret the findings of this CXR for me
- 5. Please interpret these ABG results for me
- 6. Interpret this ECG:
- 7. How would you calculate the risk of PE?
- 8. What definitive investigation would you consider?
How to use
Candidate:
- Read the brief below (1 minute).
- Take a history and perform a focused examination (7 minutes).
- Answer viva questions (3 minutes).
Patient/Examiner:
- Familiarise yourself with the history and examination findings.
- After completing the history and examination, viva the candidate.
Candidate brief
You are the ward doctor on a night shift. You have been called by a nurse to review an unwell patient.
John is a 79-year-old man, admitted to the inpatient ward. He is day-6-post-op for right total right hip replacement.
Please take a history, perform a focused examination and answer the subsequent questions.
Patient Name: John Smith
Location: Ward
Presenting Complaint:
- New onset shortness of breath, chest pain
- ‘I am finding it very difficult to breathe suddenly, and I feel like I’m gasping for air. I also have sharp stabbing chest pain.’
Symptoms (SOCRATES):
- Site: Chest
- Onset: 1 hour ago
- Character: ‘The chest pain is sharp and stabbing when I breathe in, and I just feel like I can’t breathe.’
- Radiation: Not radiating, but worse on inspiration
- Associated symptoms: Associated mild dry cough and mild pitting oedema to both legs, right> left.
- Time: Onset about one hour ago, constant since.
- Exacerbating/Alleviating factors: Chest pain gets worse on taking a deep breath. So far, he has taken paracetamol, dihydrocodeine and oral morphine for pain, which have only helped slightly.
- Severity: ‘I feel like I’m gasping for air and like I am going to pass out.’
Systemic Symptoms:
- Feels slightly feverish
- Nausea or vomiting: None
- Dizziness or palpitations: None
- Night Sweats: None
- Unintended Weight Loss: None
- Chest or Shoulder Tip Pain: Chest pain, worse on inspiration
- Oedema: Yes – bilateral legs, up to the calf.
- Rashes or Skin Changes: None
- Headache: None
- Change in Bowel Habits: None
- Urinary symptoms: None
- Confusion: GCS 15
- Mobility – Patient is currently under post-op PT/OT review and not mobilizing much yet.
Past Medical History:
- Osteoarthritis
- Heart failure
- Hypertension
- Diabetes mellitus type 2
- Cataracts
Medications:
- Paracetamol 1g QDS
- Dihydrocodeine 30 mg QDS
- Oramorph 5-10 mg PRN, minimum interval 4 hours
- Enoxaparin SC 40 mg OD (Prophylactic dose)
- Cyclizine PO/IV 50 mg PRN, minimum interval 8 hours
- Metformin 500 mg BD
- Ramipril 5mg OD
- Bisoprolol 5mg OD
- Spironolactone 100mg OD
- Senna 7.5 mg OD
- Omeprazole PO 20 mg OD
Allergies:
- Penicillin – Widespread rash
Family History:
- Dad died of MI
Social History:
- Occupation: Retired. Worked as an accountant for 45 years. If asked specifically – No known exposure to asbestos, silica or any dust.
- Activities of Daily Living and Hobbies: Reduced mobility recently due to severe hip arthritis. Uses a walking frame. Can manage activities of daily living fairly independently, but needs help from wife and son occasionally.
- Smoking: Current smoker for the last 20 years, smokes 5-6 cigarettes every day.
- Alcohol: 3-4 units per week
- Recreational Drug Use: None
- No travel history
- Pets (only if specifically asked): Has a dog.
Ideas, Concerns, and Expectations:
- Ideas – “Is it some sort of infection?”, “Is my hip replacement surgery a failure?”
- Concerns – “I’m really finding it difficult to catch my breath now, am I dying?”
- Expectations – “Can you help me please? I don’t want to die!”
Observations:
– Respirations: 23 breaths/min.
– Oxygen Saturation: 91% on room air.
– Blood Pressure: 101/75 mmHg.
– Pulse: 129 beats/min.
– Consciousness: Alert and oriented.
– Temperature: 37.2 Celsius.
NEWS Total Score: 8
Physical Examination:
General Inspection:
– Appears clammy and anxious, visually short of breath with fast respiratory rate.
– No obvious jaundice, rash or skin lesions, slight pallor noted.
– 10 cm longitudinal wound on the lateral aspect of the right hip, dressing clean and dry. No discharge/bleeding noted. No evidence of infection.
Hands:
– No clubbing or tremor.
– Capillary refill time <2 seconds.
– Regular fast pulse.
Face:
– No jaundice or scleral icterus.
– Mucous membranes are slightly dry.
Neck:
– JVP not raised.
– No scars or palpable lymphadenopathy.
Chest:
– Increased work of breathing observed and using accessory muscles.
– Normal percussion over both lungs.
– Normal lung sounds on auscultation.
– Normal heart sounds, no murmurs or added sounds.
Abdomen:
– Soft, non-distended.
– No tenderness on palpation.
– No hepatomegaly or splenomegaly.
– Bowel sounds present and normal.
Other:
– Mild pitting oedema to both calves
– 10 cm longitudinal wound over the anterior aspect of the right hip, dressing clean and dry. No discharge/bleeding noted.
– Examination of lower limbs – Pitting oedema to both calves, right>left. Localized right calf tenderness present. Right warm to touch and slightly erythematous.
Viva Questions:
1. Before having investigation results to hand, what differential diagnoses you can think of?
- Pulmonary embolism (PE) – It is the most common complication following a major surgery, typically after 5-7 days. Other risk factors include extended immobility and hypercoagulable state (i.e. Virchow’s Triad). The clinical features here are typical for PE, including new-onset SOB, pleuritic chest pain, tachypnoea and tachycardia, and hypoxia.
- Acute Myocardial Infarction: Risk factors include pre-existing coronary artery disease, diabetes, intra-op bleeding and anaemia, hypotension, sepsis, and stress from surgery. Both PE and MI can present with chest pain, dyspnoea, and haemodynamic instability. However, there are a few differences as follows:
| Features/Symptoms | MI | PE |
| Chest pain | Crushing, pressure-like, retrosternalMay radiate to left arm, jaw, neckGradual onset | Pleuritic, worsens on inspiration.Rarely radiates, but sometimes can radiate to the shoulder/backSudden onset |
| Associated features | Dyspnoea, profuse sweating, nausea/vomiting | Dyspnoea, haemoptysis (in large PE), syncope (in large PE). |
| ECG | May/may not have ST elevation. T wave inversions localized to the affected coronary territory. | No ST elevations seen. T wave inversions can be seen in anterior leads. Features of right heart strain may be seen. |
| Blood tests | Elevated troponinsUsually normal ABG | Elevated D-dimersABG may show respiratory alkalosis. |
| Imaging | Often normal CXR. Echo may show LV wall motion abnormalities Coronary angiography is diagnostic | Often normal CXR, may show Hampton’s hump, Westmark signsEcho may show RV dilationCTPA is Gold standard |
- Aspiration pneumonia: Post-op atelectasis or aspiration pneumonia can cause hypoxia and tachypnoea. PE and aspiration pneumonia can both present in a similar manner. However, the following differentiating points must be considered before reaching a diagnosis:
| Features | Aspiration pneumonia | PE |
| Onset | Gradual | Sudden |
| Triggers | Vomiting, impaired swallowing, reduced consciousness, reflux | Immobility, surgery, DVT, hypercoagulable state |
| Symptoms | Chest pain – Less common, may be dull Dyspnoea – Gradual, may worsen with infectionCough – Productive with foul-smelling sputumFever – High grade, often with rigorsConfusion – Common in elderly patients with pneumonia | Chest pain – Pleuritic, suddenDyspnoea – Sudden onset, prominentCough – Dry cough or haemoptysis Fever – Mild or absent (unless infarction is present)Confusion – Possible in case of a massive PE |
| Signs | Tachypnoea/Tachycardia – CommonHypoxia – Usually mild to moderateAuscultation – Crackles PresentCyanosis – Rare | Tachypnoea/Tachycardia – Very commonHypoxia – Usually significantly markedAuscultation – Fairly normalCyanosis – May occur |
| Risks | Stroke, altered mental state, alcoholism, elderly, GERD, NG Tube, sedation | DVT, recent surgery, long travel, malignancy, hypercoagulable state |
| Bloods | Elevated WCCABG may show hypoxia and hypercapnia in severe cases | Elevated D-dimersABG may show respiratory alkalosis |
| Imaging | CXR may show infiltratesCTPA is gold standard | CXR may be normalCT thorax can be useful |
- Congestive heart failure: Can develop due to fluid overload, post-op stress or existing heart condition. PE and CHF can present similarly, however they differ significantly as follows:
| Features | Congestive heart failure | PE |
| Onset | Gradual | Sudden |
| Chest pain | Pressure-like | Pleuritic |
| Cough | Productive with frothy sputum | Dry/Haemoptysis |
| CXR | Pulmonary oedema, cardiomegaly | Fairly normal |
| ECG | AF, LVH, | Possible RBBB |
| Echo | LV dysfunction | RV strain |
- Pulmonary oedema: Can develop due to fluid overload, cardiac complications post-operatively (MI, CHF), or non-cardiogenic complications (ARDS, fat embolism). The most common way to differentiate this from a PE would be to perform a CXR and auscultate the lungs.
2. “What will be your next steps?”
Perform a full A-to-E assessment:
A – Patent airway, self-maintained.
B – As this patient is desaturating to 91% on room air, start 15L oxygen via a non-rebreather mask, and titrate to achieve target saturations. Chest sounds – Symmetrical air entry, mild left basal crackles. Perform ABG, request urgent CXR.
C – HS I+II. BP is 101/75, HR is 129. Obtain IV access, start IV Fluids 500 mL over 1 hour, obtain bloods (FBC, U&Es, CRP, LFTs, Bone profile, BNP, Troponin). D-dimer unlikely to be helpful as will be raised post-op. Do an ECG, collect sputum samples.
D – Pupils EARL, GCS 15/15, BM 7.6.
E – Bilateral pitting oedema to both calves, right>left, with right calf tenderness. No signs of surgical site infection. Temperature 37.2.
Other investigations:
- Wells Score for PE: 9.0.
- D-dimer – Can be collected, however it will tend to be raised after a major surgery.
- CTPA – Gold standard investigation for PE. Request with raised Wells Score.
3. Will you give/change any of John’s current medications?
- Due to strong suspicion of PE, change prophylactic dose of Enoxaparin to treatment dose while awaiting CTPA. Dose as per local guidelines, considering the patient’s weight and renal function.
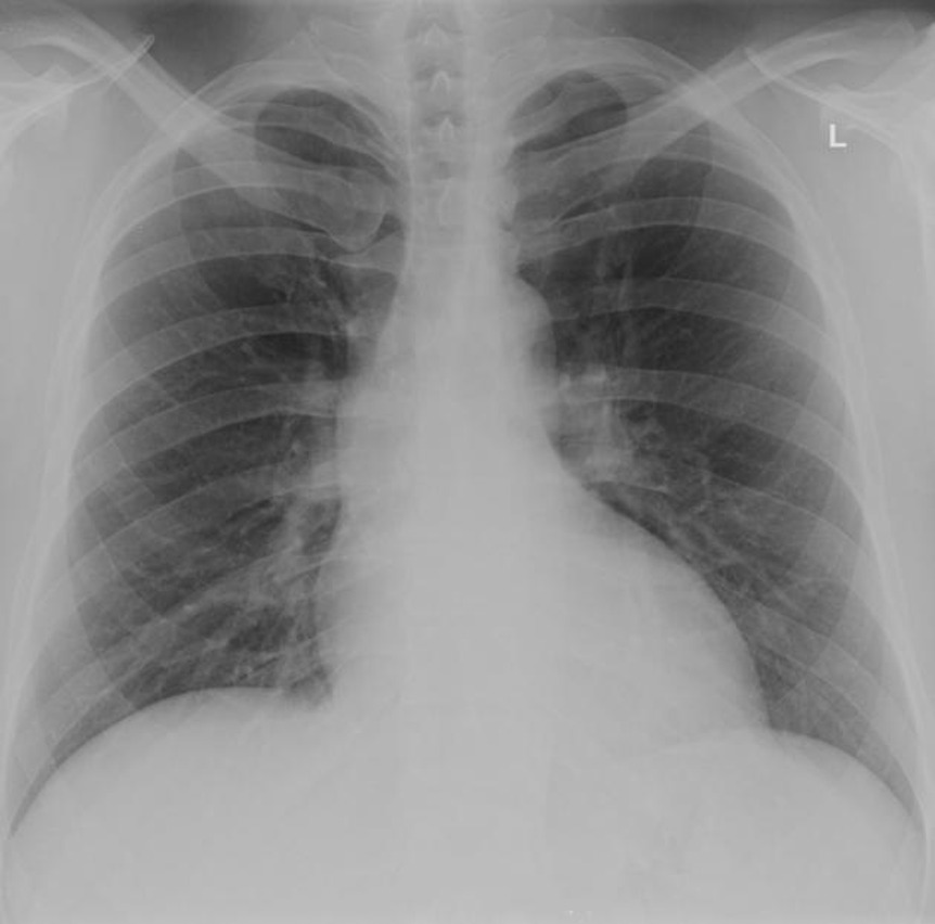
4. Please interpret the findings of this CXR for me

Case courtesy of RMH Core Conditions, Radiopaedia.org, rID: 27923
Answer:
- Identifies bilateral equal lung expansion, with no evidence of focal consolidation or opacity. No pleural effusions. Mild cardiomegaly in keeping with PMH of HF.
- No evidence of pneumothorax, lung markings run to peripheries.
- Comments that trachea is central, borderline mild cardiomegaly.
- No gross evidence of bony injury or fracture.
- Identifies as a normal chest x-ray
5. Please interpret these ABG results for me

Source: https://geekymedics.com
Answer:
- Identifies the patient has respiratory alkalosis.
- Identifies the patient has low PaO2 (hypoxaemia) with low PaCO2 (due to raised resp rate) indicating Type 1 respiratory failure.
- Summarises the ABG as Type 1 respiratory failure with hypoxaemia (PaO₂ 54 mmHg) and respiratory alkalosis (low PaCO₂ 4.0 mmHg)
- Mildly elevated lactate (still within normal range)
- Electrolytes grossly normal
6. Interpret this ECG:

Source: litfl.com
Answer:
- Identifies as sinus tachycardia approx 110 bpm, regular
- Nil obvious ACS features: ST elevation/depression.
- Identifies T-wave inversion in V1-3 (this morphology is commonly seen in PE). There is also T-wave inversion in lead III.
7. How would you calculate the risk of PE?
Well’s criteria for PE:
- The Wells’ Criteria risk stratifies patients for pulmonary embolism (PE) and provides an estimated pre-test probability.
- Wells’ is not meant to diagnose PE but to guide workup by predicting pre-test probability of PE and appropriate testing to rule out the diagnosis.
- There must first be a clinical suspicion for PE in the patient (this should not be applied to all patients with chest pain or shortness of breath, for example)
| Characteristics | Score (if answer is yes for the corresponding characteristic) |
| Clinical signs and symptoms of DVT | +3 |
| PE is number 1 diagnosis or equally likely | +3 |
| Heart rate >100 | +1.5 |
| Immobilization at least 3 days OR surgery in the previous 4 weeks | +1.5 |
| Personal history of PE or DVT | +1.5 |
| Haemoptysis | +1 |
| Malignancy with treatment within 6 months or palliative | +1 |
Score interpretation:
- 0-1: Low risk of PE – Consider D-dimer testing. If negative, stop PE workup. If positive, proceed to do CTPA.
- 2-6: Moderate risk of PE: Consider D-dimer testing. If negative, stop PE workup. If positive, proceed to do CTPA.
- >6: High risk of PE. D-dimer testing not recommended. Proceed to do CTPA.
Therapy options include treatment dose LMWH or direct acting oral anticoagulants depending on local guidelines, or consideration of thrombolysis in cases of massive PE with haemodynamic instability.
8. What definitive investigation would you consider?
CT Pulmonary Angiogram (CTPA): It is the gold standard diagnostic test for pulmonary embolism. It allows the study of morphology of the pulmonary arteries and the pattern of perfusion with contrast. A PE appears as a filling defect.
References
1. ABG Interpretation | A guide to understanding ABGs | Geeky Medics [Internet]. 2016 [cited 2025 May 26]. Available from: https://geekymedics.com/abg-interpretation/
2. Burns E, Buttner R, Buttner EB and R. ECG changes in Pulmonary Embolism [Internet]. Life in the Fast Lane • LITFL. 2020 [cited 2025 May 26]. Available from: https://litfl.com/ecg-changes-in-pulmonary-embolism/
3. Rodger MA, Carrier M, Jones GN, Rasuli P, Raymond F, Djunaedi H, et al. Diagnostic Value of Arterial Blood Gas Measurement in Suspected Pulmonary Embolism. Am J Respir Crit Care Med. 2000 Dec;162(6):2105–8.
4. Radiopaedia [Internet]. [cited 2025 May 26]. Cardiomegaly (mild) | Radiology Case | Radiopaedia.org. Available from: https://radiopaedia.org/cases/27923/studies/28167?lang=us
5. Pulmonary Embolism | British Thoracic Society | Better lung health for all [Internet]. [cited 2025 May 26]. Available from: https://www.brit-thoracic.org.uk/quality-improvement/guidelines/pulmonary-embolism/
6. Pulmonary embolism – Symptoms, diagnosis and treatment | BMJ Best Practice [Internet]. [cited 2025 May 26]. Available from: https://bestpractice.bmj.com/topics/en-gb/3000115
7. MDCalc [Internet]. [cited 2025 May 26]. Wells’ Criteria for Pulmonary Embolism. Available from: https://www.mdcalc.com/calc/115/wells-criteria-pulmonary-embolism
How useful was this post?
Click on a star to rate it!
Average rating 0 / 5. Vote count: 0
No votes so far! Be the first to rate this post.
We are sorry that this post was not useful for you!
Let us improve this post!
Tell us how we can improve this post?


